













若島歯科医院は
口元の美を追求した
美容特化の歯科医院です
私たちの医院では大手美容外科での豊富な経験を持つ美容専門の歯科医師や日本矯正歯科学会認定医が在籍し、
女性の口元の美しさを追求した歯科診療を提供しています。
南浦和駅から車で5分という便利な立地にあり、ショッピングや仕事の合間にも気軽に通院していただけます。
ご希望の日時にカウンセリングをお受けいただける体制を整えております。
レントゲン撮影をもとに、院長が十分なお時間をとってお悩みやご希望・ご予算をお伺いし、患者様に合った治療プランをご提案いたします。
WEBからは24時間いつでもご予約が可能で、南浦和駅から車で5分の好立地です。お仕事帰りなど、どうぞお気軽にご来院ください。
| 診療時間 | 月 | 火 | 水 | 木 | 金 | 土 | 日 | 祝 |
|---|---|---|---|---|---|---|---|---|
| 9:00~13:00 | ● | ● | ● | / | ● | ★ | / | / |
| 14:30~18:00 | ● | ● | ● | / | ● | ★ | / | / |
★…土曜は9:00〜15:00まで
休診日:木曜、日曜、祝日
30年以上にわたって審美治療に従事してきた歯科医師が診療を担当いたします。品質を重視した丁寧で安心・安全な診療を提供いたします。
診療においては、患者様にご納得いただけるまで丁寧にご説明いたします。メリットのみならず、デメリットについてもしっかりとお伝えしてから診療を開始いたします。
麻酔ひとつをとっても、患者様にご安心いただけるよう痛みを最小限に抑えた診療を実践しております。
セラミックと矯正治療のどちらにするか迷われている方もお気軽にご相談ください。私たちの医院は矯正歯科にも注力しているため、矯正治療の方が適していると判断した場合は矯正での対応も可能です。
完全にメタルフリーでの診療が可能です。金属アレルギーをお持ちの方も安心して施術をお受けいただけます。
審美治療完了後、詰め物や被せ物の破損について一定期間の保証制度を設けております。(※ただし、一定の条件があります。)
審美治療完了後、その歯を健康な状態で維持するためには継続的なメンテナンスが重要です。私たちの医院では長期的なメンテナンスを行える体制を整えております。
まずは、ご不明な点やご心配事をお気軽にご相談ください。患者様が十分にご理解・ご納得されるまで治療を開始することはございません。当院では初回診療時に必ずカウンセリングを実施いたします。
当院では高品質な治療をリーズナブルな価格でご提供しておりますが、セラミック治療は高価な投資となります。
「破損してしまったら」「脱落してしまったら」といったご不安を解消し、安心して治療をお受けいただけるよう、保証制度を設けております。(※当院規定の条件がございます)
「セラミック治療をご希望の方」「美しい歯を手に入れたい方」など、保険診療の範囲を超えても質の高い治療をお求めの方のために、経済的負担を軽減するデンタルローンをご用意しております。金利・手数料は当院が全額負担いたします。
ご希望の日時にカウンセリングをお受けいただける体制を整えております。
レントゲン撮影をもとに、院長が十分なお時間をとってお悩みやご希望・ご予算をお伺いし、患者様に合った治療プランをご提案いたします。
WEBからは24時間いつでもご予約が可能で、南浦和駅から車で5分の好立地です。お仕事帰りなど、どうぞお気軽にご来院ください。
ご希望の日時にカウンセリングをお受けいただける体制を整えております。
レントゲン撮影をもとに、院長が十分なお時間をとってお悩みやご希望・ご予算をお伺いし、患者様に合った治療プランをご提案いたします。
WEBからは24時間いつでもご予約が可能で、南浦和駅から車で5分の好立地です。お仕事帰りなど、どうぞお気軽にご来院ください。
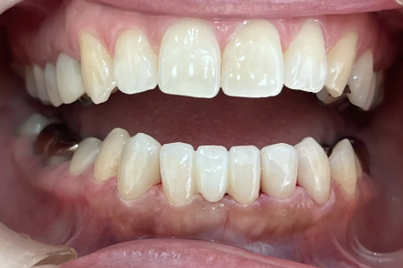
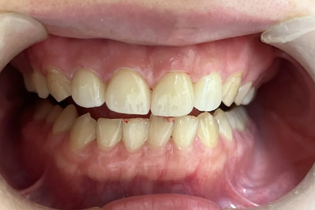
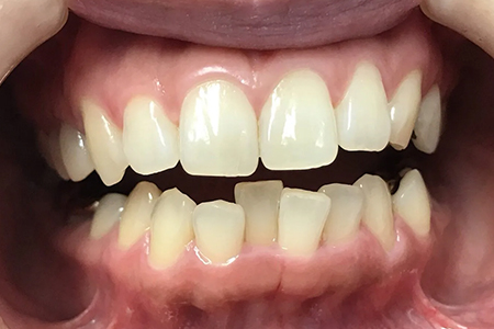
審美治療は、歯や口元の美しさを重視した歯科診療のことです。
歯科診療には痛みや歯を失う要因である「むし歯・歯周病の治療」、失った歯や欠損した歯を回復して「しっかり噛める状態にする」という機能回復の側面と、「白く美しい歯にする」「歯並びを美しく整える」という美容面での治療の側面があります。
当院では、これら両方の要素を兼ね備えた審美歯科診療に注力しております。
生涯にわたって美しく健やかな口元をお求めの方は、ぜひ当院にお越しください。
私どもは美容・審美分野に専門特化した歯科クリニックです。
審美治療の専門医として、私は30年を超える豊富な臨床実績を積み重ねてまいりました。
長年にわたる審美分野での経験により、女性の皆様が抱える歯のお悩みやお気持ちを深く理解することができます。だからこそ、患者様の歯に関するお悩みに誠実に寄り添い、可能な限り患者様のご負担を軽減し、短期間でご納得いただける治療をご提供したいと考えております。
私どものクリニックは南浦和駅から車で5分という大変便利な立地にございます。歯のことで少しでもお困りのことがございましたら、どうぞお気軽にご相談ください。
1959年
埼玉県生まれ
1983年
明海大学歯学部卒業
1985年
若島歯科医院開業
1998年
医療法人社団若島歯科医院理事長就任
2000年
IWインプラントセンター設立