セラミック矯正とは

本ページでは、セラミック矯正に関する情報をお伝えしていきます(本ページ以外にも、ホームページのブログにて情報をお届けしています)。セラミック矯正とはセラミックという素材を使い、歯並び、歯の色、歯の形を同時にキレイに改善する保険適用外のセラミック治療です(歯を動かす動的治療ではありません)(日本全国でセラミック治療は保険適用外となっております)。一般歯科ではなく、審美歯科・審美修復治療の分野となり、多くの芸能人もセラミック矯正を行っています。歯を適度に削り、内部にはコア(土台)を立てて、その上にお好きな色のセラミック素材を使ったセラミッククラウンを被せます。ホワイトニングでは実現が難しい白さや、矯正では出来ない歯の形やサイズを変えることもセラミック矯正では可能で、従来の矯正(歯列矯正)のデメリットであるワイヤーなどの装置の装着、高額な治療費、長い治療期間、治療後の戻りのリスクを解決し、気になる部分を費用と期間を抑えて、矯正することができるのが特徴となります。つまり、セラミック矯正とは短期間で歯並び治って白くなるお得な治療方法なのです。
こんな人におすすめ(対象の方)

・短期間で歯並びを治したい
・前歯の見た目が気になる
・歯の形やサイズが気になる
・歯を白くしたい
・前歯がねじれていたり傾いている
・前歯が出ていたり(出っ歯)、引っ込んでいる
・前歯が生まれつき変色している
・前歯にまだら模様や縞模様のような変色がある
・一般的なホワイトニング治療では理想の白さにすることができない
・八重歯(叢生)を治したい
・上記全てを一気にアプロ―としたい
セラミック矯正ができない方(対象外の方)
- 重度の歯周病の方※歯周病が重度の場合、先行して歯周病治療が必要なこともあります。
- 乳歯の方※乳歯にはセラミックをかぶせることができませんので、高校生以下の方はお口の状態によっては治療を受けられない場合があります。
- 治療中痛み止めや麻酔薬を使用しますので、一般的な虫歯治療を受けられないような全身疾患がある方やアレルギーのある方
- 妊娠安定期以外の方
- 抜歯部位など欠損部(歯がない部分)があり欠損治療がされていない方(当院では、インプラント治療を行い、上部にセラミックを装着することも可能です)
セラミック矯正のメリット・デメリット
メリット
- 短期間で歯並びを整えることができる
- 矯正装置をしなくて済む
- 適応範囲が広い
- 歯の色・形・大きさも改善できる
- 治療後の後戻りがない
- 部分的に歯並びを治せる
- 他の矯正治療より安価
- 侵襲性が低い(身体への影響)
デメリット
- 歯を削る必要がある
- 神経を取る場合がある
- 一部治療が出来な方がいる
- 歯ぐきの状態で見た目が悪くなる可能性がある
- 欠けてしまう・取れてしまう可能性がある
セラミック矯正のメリット・デメリット(詳細)

ここでは前項で述べたセラミック矯正のメリット、デメリットについて詳細を記載いたします。
◎セラミック矯正のメリット
①短期間で歯並びを整えることができる
セラミック矯正は他の矯正治療とは違って短期間で歯並びを整えることができます。通常の歯科矯正(ワイヤー矯正・舌側矯正)やマウスピース型矯正治療では、症状によりますが半年から5年ほどかかってきます。少しずつ歯に力を加えて動かしていくため、一気には歯並びを整えることできません。その点、セラミック矯正はセラミック歯を用いてキレイな歯に変えることで治療が完了するため、1~2か月で治療が終了します。
②矯正装置をしなくて済む
ワイヤー矯正であれば、ワイヤーとブラケットを装着する必要があります。銀色のものが一般的ですが、最近では透明や白い色味の装置もありますが、矯正治療が終わるまで取り外すことが出来ません。装置に悪影響が及ぶ食べ物は禁止(食事制限)となりますし、食事後の清掃が非常に大変です。常にいくつかの種類の歯ブラシを持ち歩き、食後すぐに歯磨きをする必要があります。マウスピース型矯正治療も、一日最低20時間の装着が必要です。マウスピースは着色するため、装着時はお水以外の飲食が禁止となります。もちろん、コーヒーや紅茶もダメです。食事中はご自身で取り外すことが出来るため食事の禁止はありませんが、大変なことは変わりありません。その点、セラミック矯正は装置を取り付ける必要も、取り外しする必要もないため、非常に楽な治療方法となります。
③適応範囲が広い
症例にもよりますが、矯正治療は歯科医師により適応する症例範囲に大きな差があります。セラミック矯正は技術に違いはあれど、適応範囲が広いのが特徴です。
④歯の色・形・大きさも改善できる
ワイヤー矯正やマウスピース型矯正では歯を動かして歯並びを整えるだけですが、セラミック矯正はご希望の色・形・大きさにすることが出来ます。例えば、矮小歯と言って他よりも小さい歯がある方は多くいらっしゃいますが、セラミック矯正では他の歯のサイズに合わせることで違和感をなくしたりすることができます。他にも、形が気に入らない歯、色味が気に入らない歯なども治療することが出来ます。また、一つずつではなく色・形・大きさを同時に短期間で治療を行うことが可能なのも特徴の一つです。
⑤治療後の後戻りがない
ワイヤー矯正やマウスピース型矯正は後戻りといって歯が元に戻ろうとすることがあります。これは悪習癖といって歯並びを悪くした癖自体が治っていないため、また歯並びが悪くなっていくことなどが原因として挙げられます。セラミック矯正は一度治療すれば後戻りはありません。
⑥部分的に歯並びを治せる
ワイヤー矯正やマウスピース型矯正も部分矯正という矯正治療もありますが、セラミック矯正はより部分的に1本の歯という単位から治療が可能です。
⑦他の矯正治療より安価
ワイヤー矯正の相場が80~120万円、マウスピース型矯正の相場が70~90万円となっておりますが、セラミック矯正は60万円前後となります。ほかの矯正治療よりも期間が短い上に、安価な治療となっています。
⑧治療痕が残らない
セラミック矯正は治療の痕が残りませんので、治療をしたか否か他人が見て気が付くことはありません。
×セラミック矯正のデメリット
①歯を削る必要がある
セラミック矯正は天然の歯を削ってセラミックの歯を装着する治療方法です。ですので、歯を削る必要がどうしてもあります。ただし、ワイヤー矯正は歯を抜く可能性があること、マウスピース型矯正は歯と歯の間を削る可能性があることもございますので、双方のデメリットを確認してみてください。
②神経を取る場合がある
歯を削ると神経に刺激を与えて沁みることや痛みが出ることがあります。ですので、状況により歯の神経を除去してセラミックを装着することがございます。
③一部治療が出来ない方がいる
ワイヤー矯正・マウスピース矯正も同様ですが、セラミック矯正もどうしても治療が行えない方がいらっしゃいます。かなり少ないのですが、ご不安な方はまずは無料のカウンセリングにお越しください。
④歯ぐきの状態で見た目が悪くなる可能性がある
歯周病が進行した場合、歯ぐきが退縮し下がってくるため、セラミック歯と歯茎の間に隙間ができてきてしまいます。治療を再度行えば修正は可能ですが、また別途費用が掛かってしまいます。歯はしっかりと磨き、定期的に歯医者に検診にいって歯周病の進行を抑えましょう。
⑤欠けてしまう・取れてしまう可能性がある
天然歯でも同様なのですが、ぶつかったり転んだり強い衝撃が加わると割れてしまう可能性があります。
その他矯正治療との違い

セラミック矯正のメリット、デメリットにも記載しておりますが、その他矯正治療とセラミック矯正では多くの違いがあります。特徴、治療方法、治療適応範囲、期間、金額あたりかと思います。矯正治療ごとに記載していきます。
①ワイヤー矯正(銀)
治療方法:銀色のワイヤー・ブラケットを歯に装着して動かしていく治療方法です。
特徴:ワイヤー・ブラケットは治療中は取り外すことが出来ず、常に装着しておく必要があります。食事後は歯ブラシでキレイに掃除をする手間があります。また、医院に月1回通院してワイヤーを強めて歯を動かしていくのですが、強めの痛みが発生します。
治療適応範囲:歯並びを整えるということではほとんどの症例に対応可能です。
期間:2~5年
金額:80~100万円
②ワイヤー矯正(ホワイトまたはクリア)
治療方法:白色または透明なワイヤー・ブラケットを歯に装着して動かしていく治療方法です。
特徴:①と同様です。
治療適応範囲:【歯並びを整える】ほとんどの症例に対応可能です(矯正効果)。
期間:2~5年
金額:100~120万円
③ワイヤー矯正(裏側矯正)
治療方法:歯の裏側にワイヤー・ブラケットを装着して動かしていく治療方法です。
特徴:①と同様です。またそれ以外に舌が歯にあたるため痛くなる可能性があります。
治療適応範囲:【歯並びを整える】ほとんどの症例に対応可能です(矯正効果)。
期間:2~5年
金額:100~120万円
④マウスピース型矯正装置
治療方法:マウスピース型の矯正装置であるアライナーを1週間に1度付け替え続けることで歯を動かしていく治療方法です。
特徴:透明で目立ちにくく、ワイヤー矯正よりも痛みが出にくいと言われています。1日20時間以上の装着必要であり、食事中と歯磨き中しか取り外すことが出来ません。また、装着中はお水以外の飲食が禁止となります。医院に月1回通院して歯の動きを確認したり、新たなアライナーをいただく必要もあります。
治療適応範囲:【歯並びを整える】ワイヤー矯正よりも適応範囲が狭いのですが、多くの症例に対応可能です。
期間:半年~5年
金額:80~100万円
⑤セラミック矯正
治療方法:天然の歯を削って、セラミックを装着し歯並びを整えていく治療方法です。
特徴:ご希望の歯の色・形・大きさを選ぶことが出来ます。麻酔を使いますので痛みはなく、また通院回数は少なく短期間で治療を終えることが出来ます。
治療適応範囲:【歯並びを整える】【歯の色を変える】【歯の形を変える】【歯のサイズを変える】
期間:1~2か月
金額:60~80万円
セラミック素材の種類
歯科で利用されるセラミックには大きく分けると3の材質があります。
それぞれ特徴がありますので、患者様のご要望に合った材質を選んで治療いたします。
-

オールセラミック
当院ではオールセラミックを推奨しております。すべてがセラミックでできているので、天然歯とほとんど同じ硬さでかつ審美性に優れています。
-

ジルコニアセラミック
非常に硬く耐久性に優れたクラウンです。強い咬合力を持つ人にも使用可能ですが、色の再現性はオールセラミックに比べてやや劣ります。
-

メタルボンド
昔は使われることが多かったのですが現在はあまりお勧めしておりません。耐久性が高く、長く使用しても変色しづらいのが特徴ですが、中に金属を使用している為、金属アレルギーの方には不向きです。
セラミックの素材比較
| オール セラミック |
ジルコニア セラミック |
メタル ボンド |
|
|---|---|---|---|
| 硬さ |
天然歯とほぼ同じ |
硬い |
硬い |
| アレルギー の有無 |
なし |
なし |
金属の |
| 透明感 |
一番自然 |
自然 |
不透明 |
| 値段・価格・治療費 |
低価格 |
高い |
高い |
| 使える 場所 |
基本は |
どこでも |
長期を考えると |
| ブリッジ |
できる |
できる |
できる |
セラミック矯正の治療の流れ
セラミック矯正は通常の矯正治療よりも短期間で治療が完了いたします。しかしながら、通常の矯正とは違うメリットデメリットがあるため、その点も含めてカウンセリングから治療完了まで徹底サポートいたします。
-
01
無料カウンセリング
無料カウンセリングの内容ですが、まずはご来院いただき歯科医師(審美専門の院長)と、今のお悩みや不安な点、どの部分の歯並び・色・形を治したいのか、理想のお口元、治療をいつまでに行わなければならないか(期間)何を重視されるかなどご自分の希望や問題点をしっかりお伺いします。当院では審美専門の院長がカウンセリングを行い、同時に治療方法・治療概要やステップとお見積りをお渡しします。場合によっては、歯の健康も考慮し、通常の矯正治療をお勧めする可能性もございます。歯科の知識、セラミック矯正の知識が無くても問題ありませんので、お気軽にご来院ください。

-
02
検査
カウンセリング後ご興味があれば次の段階へと進みます。お時間やご希望によっては、無料カウンセリングと同日に、口腔内の写真やレントゲンの撮影、模型など検査を実施します。チェックが完了したら、この時点で抜歯が必要な場合、欠損部(歯がない箇所)がある場合は、インプラント治療またはブリッジ治療となりますので、メリット・デメリットや金額等々をお聞きいただいて、ご選択ください。また、虫歯や歯周病等がある場合には、その上から被せ物してもすぐに取れてしまう可能性があるので、先に虫歯・歯周病治療を優先して行い、その後セラミック歯を作るための型取りを行います(歯型取り)。完了後にセラミック矯正の治療に入ります。

-
03
神経処置、土台を整える
ここからセラミック矯正の施術がスタートです。理想の歯並びに整えるために、歯を削ったり必要な場合には神経の処置(歯の根)を行います。当院では出来る限り表面を削る量が多くならないようにしております。神経をそのままにしておくと将来的にしみるようになったり、セラミックを被せた後に炎症が起きてしまうことがあるからです。麻酔をして行いますので痛みはほとんどありません。当院では、麻酔を行っても怖い方には静脈内鎮静法をオプションで行うことも出来ますので、カウンセリング時におっしゃってください。神経の処置を行った場合には、歯並びを治したい部分の歯の向きに合わせて調整しながらセラミックを被せる部分の土台を作ります。歯の根元に白いグラスファイバー製のコア(土台)を立てていきます。この時点で歯の傾きや位置などを考慮します。

-
04
仮歯の装着
その後土台が完成したら、すぐにセラミックの歯をかぶせるわけではなく土台の上には仮歯をセットし、数日仮歯で過ごし、仮歯の状態で噛み合わせの調整、想像通りの白さ・色味や形、歯並びになっているかを確認します。そして、かみ合わせの違和感や形・色・歯並びの印象をしっかりご確認いただき、細かな調整を行います。

-
05
セラミック歯装着後の最終確認
仮歯で数日間過ごして問題がなければ、本番のセラミックの被せ物を作ります。セラミックの被せ物が完成するには1~2週間ほど時間がかかります。出来上がったきれいなセラミックを接着剤を用いてセットし、全体を整えて全ての施術が完了です。最短で3週間、一般的には約2ヶ月程度で完了します。装着後から、皆様には感動体験を味わっていただけると自負しております。セラミック歯自体が虫歯になることはありませんが、それ以外は虫歯リスク、歯周病リスクはあります。セラミックを長期で使うためにもリスクを排除しておく必要がありますので、日々の歯磨きブラッシングなどホームケアをしっかりと行い清潔な状況を維持して下さい。また、ご自身のブラッシングだけでは磨き残しがある方が多くいらっしゃます(歯科医師、歯科衛生士でも虫歯になる方はいらっしゃいます)。ですので、定期的に歯科医院でメンテナンスを実施してください。

セラミック矯正のよくある質問(Q&A)
-

セラミック矯正で、実際に見た目はキレイになりますか?

丁寧にしっかりと治療を行えば、美しい口元に仕上げることができます。治療前にしっかりと相談し、きちんとした治療をしてくれる歯科医師かどうかを見極めてください。
-

保険の白い歯(プラスチック)とセラミックの違いはなんですか?

プラスチックは変色しやすい性質のため、時間がたつと、変色しやすいという欠点があります。対してセラミックは変色がほどんどありません。また、強度も違います。かけずらい素材になっています。セラミックは天然歯(自分の歯)と同じ400MPaとなります。結果、プラスチックと厚みがかわってきます。
-

セラミックとはなんですか?

セラミックまたはセラミックスとは、陶磁器(陶磁製品)を指します。身近なものでいえば、セラミック製のお皿などです。プラスチックのお弁当箱と、セラミック製のお皿、スポンジで洗う時の汚れの落としやすさ、黄ばみが付くかどうかなど違いがあります。当院のセラミック矯正で取り扱っているのは歯科用セラミックとなります。白くかつ透明度が高く天然歯と変わらない色味を出すことが出来ます。
-

セラミックは欠ける心配はありますか?

現在の歯科治療で用いられているセラミックは、かなり強度が高くなっていますので治療した部分が欠ける心配はございませんが、稀に欠ける場合もあります。
-

セラミックは目で見て、治療の痕はわかりますか?

いえ、治療の痕は目では見えません。以前の歯より白くなっていれば変化には目に見えると思いますが、自分の歯をホワイトニングで白くしたのか、セラミックで白くなっているかは、一般の目には判別できません。
-

セラミックが取れる心配はありますか?

現在の歯科治療で使用される接着剤は接着力が高いため取れる心配はございませんが、稀に取れる場合もあります。
-

セラミック以外の素材はありますか?

セラミック以外にも、被せ物に使われる素材はあります。正確にはセラミックにも種類がありますし、セラミックを組み合わせた素材などもあります。例えば、一般的な歯医者さんで被せ物と言えば「銀歯」です。歯科用語では、金銀パラジウム合金などと言われており、保険が適用するかぶせ物です。保険外の治療となりますが、ハイブリッドセラミックと呼ばれるプラスチックとセラミックを合わせた素材です。プラスチックが入っているので耐久性が低く、水分に弱かったり、色が変色したりしますが、単価です。そのほか、メタルボンドと呼ばれる金属の上にセラミックを貼り付けた素材です。金属があるため耐久性は高くセラミックで見た目はキレイなのですが、歯周病で歯肉が上がっていくと金属部分が露出してしまいます。そして、当院で取り扱っているセラミック(オールセラミック)と呼ばれる全てがセラミックで、キレイで透明性があり汚れがつきにくく、変色もしないという素材です。
-

治療後痛みが出た場合はどうすればいいでしょうか?

市販である痛み止めを服薬していただき、近い日程でご来院ください。
-

芸能人やインフルエンサーのような真っ白な歯にすることはできますか?

可能です。セラミックを制作するときに、お好きな色をお選びいただきます。天然歯に近い色にすることも、芸能人やインフルエンサーのような真っ白な歯にすることもできます。
-

ホワイトニングで芸能人やインフルエンサーのような白い歯にすることは可能ですか?

芸能人やインフルエンサーによりますがかなり白い歯の場合、ホワイトニングではその白さにすることが出来ない可能性があります。
-

通院回数や治療期間はどれくらいかかりますか?

お口の状況、本数、アポイントの状況などによりますが、概ね3~5回の通院回数で、最短3週間、平均1~2か月といったところです。矯正歯科であれば症例にはよりますが数年かかってきますので、かなり短期間で歯並びを整えることができます。
-

セラミックと差し歯は違いますか?

セラミックと差し歯は違います。差し歯とインプラントはよく混同されますが、歯を完全に失ってしまった場合は、インプラントか入れ歯かブリッジ(被せ物の連結したもの)の選択肢となります。差し歯とは、歯の根元が残っている場合にできる治療です。セラミックとは、インプラントの上部につける被せ物、ブリッジの被せ物、差し歯に装着する被せ物となります。
-

セラミック矯正の相場はおいくらでしょうか?

セラミック矯正といっても、セラミックの素材を何にするかで大きく価格・値段は変わります。本ページにも素材の違いを掲載しておりますが、セラミックには大きく4つあります。ハイブリッドセラミック、オールセラミック、メタルボンド、ジルコニアセラミックです。ハイブリッドセラミックはプラスチックとセラミックを使った素材で、プラスチックを使用している分お安いですが経年劣化が起きやすくなり変色リスクなどがあります。歯医者のホームページを見て「他の歯医者よりもセラミック矯正が安い」と思って医院へ行くと、ハイブリッドセラミックだったりします。オススメは、全てがセラミックで出来ているオールセラミックか、人工ダイヤモンドと呼ばれるジルコニアとセラミックを使ったジルコニアセラミックとなります。当院では、透明感抜群のオールセラミックを推奨しております。オールセラミックの相場は1本110,000円前後ですので、6本であれば660,000円ほどになります。当院では、オールセラミックは1本110,000円ですが、6本であれば複数本割引で20%OFFとなりますので1本あたり88,000円、6本で合計528,000円となります。セラミック専門の技工所との提携や、症例数が多いことで1本あたりの価格・値段を他院よりも抑えることが出来ております。
-

セラミック矯正で削るのが怖いのですが、麻酔などありますか?

削る時はもちろん麻酔を行いますが、それでも歯の削る音が嫌だったり、治療の恐怖感がある方はいらっしゃいます。その方には、当院ではオプションとして「静脈内鎮静法」で治療を行うことが出来ます。静脈内鎮静法とは、点滴注射などで静脈麻酔を行いますので、半分寝ているような状態となり、ほとんどの方はその時間の記憶はありません。つまり、眠った状態で治療を行うことが可能ということです。ご不安な方、ご興味ある方はお声がけください。
-

セラミック矯正に寿命はありますか?

セラミック自体に寿命はありませんので、半永久的に美しい状態を保つことが出来ます。ただし、元々の歯が虫歯になったり歯周病になったり、セラミックが欠けてしまったりする事で寿命が来るケースがあります。セラミックの良い状況を維持するためには、しっかりと日々メンテナンスを行いましょう。
-

セラミック矯正を行うと、歯が弱くなると聞きましたが大丈夫ですか?

歯の神経を取ると確かに歯は弱くなります。木の根っこを取ってしまったようなもので栄養分が行き渡らなくなるイメージです。ですので、当院では出来る限り「削らない」「神経を取らない」ことを前提に治療計画を立てます。ただし、セラミック矯正の治療の性質上、神経を取るケースがあります。
-

ワイヤーやマウスピースなどの歯列矯正と、セラミック矯正はどちら良いですか?

患者様のご希望によります。それぞれの治療で行えること、叶えられることが変わってきます。観点としては、歯並び、歯の色、歯の形やサイズ、期間、費用、神経除去でしょうか。通常の矯正であれば歯並びは変えることが出来ますが歯の色、歯の形やサイズを変えることは出来ません。期間は個人差がかなりありますが平均すると数年かかるでしょう。費用は差がありますが80~120万円といったところです。神経だけ除去というケースはありませんが歯並びを整えるために歯を抜く(抜歯)可能性はあります。
セラミック矯正は、歯並び、歯の色、歯の形やサイズ全てお好みに帰ることが出来ます。期間は最短で3週間、平均1~2か月といったところです。費用は40~120万円と素材によりバラつきがあります。抜歯、神経除去ともに可能性があります。
上記ご説明したように、一長一短です。何を望むかによりどちらが良い治療方法なのか変わってきますので、何を望み何を重視するのかご検討ください。 -

出っ歯でも治すことはできますか?

出っ歯とは、上の歯が下の歯に比べて突出している状態です。原因は歯自体の場合と、骨格の場合があります。前者の歯自体の問題であればセラミック矯正で、歯を削りセラミックを被せて出っ歯を治すことが可能です。骨格が原因の場合は、どこまでセラミック矯正で可能なのか検査してみないとわかりませんので、一度ご相談にいらしてください。
-

すきっ歯でも治すことはできますか?

すきっ歯とは、歯と歯の間にすき間が出来ている状態です。セラミック矯正で治すことも、ラミネートベニアで治すこともできます。セラミック矯正であれば、歯を削りすき間が無いようにセラミックのサイズを調整して装着すればすきっ歯を治すことが出来ます。前歯のすきっ歯であれば歯の表面を削りセラミックシェルを貼り付けるラミネートベニアでも治すことは可能ですので、費用・期間・治療方法などからご検討ください。
-

歯並びがデコボコでも治すことはできますか?

歯並びがデコボコの状態を叢生(そうせい)と言います。叢生はセラミック矯正で治すことが出来ます。出っ歯やすきっ歯と同様に、歯を削りセラミックのサイズを調整して装着すれば歯並びをキレイにすることが出来ます。
-

医院は感染防止対策は実施していますか?

歯科医院によりますが、当院は消毒・滅菌に力を入れております。院内では、アルコール消毒、定期的な換気、滅菌器を用いた滅菌処理、スタッフの手指消毒やマスク着用など様々な感染防止対策を実施しています。
-

セラミック矯正は失敗することはありますか?

セラミック矯正の失敗は技術によってはあり得ると思います。それはセラミック矯正だけではなく、物事や治療全般に言えることだと思います。ですから、症例数が豊富であったり、専門的に行っている医院であればそのリスクは下がります。また、それ以外にも保証がある医院を選ぶことも重要です。
セラミック矯正を行ってくれる歯科医院・歯科医師の3つの選ぶポイント
歯科医師が高い技術力、経験、実績を持っていることはもちろんのこと、患者様と歯科医師との相性が良いことは非常に重要です。事前にそのような情報を知ることで仕上がりなどに大きく影響します。
-

審美専門
一般歯科と審美歯科は違った治療スタイルの医院です。審美専門か否かで症例数、歯科医師の技術力、経験、実績を判断します。
-

初回カウンセリング無料
当院では低価格・値段とはいえセラミック矯正は数十万円する高い治療です。どんな治療なのか、どんな色が可能なのかなど初回カウンセリングを無料で受けられる医院が良いでしょう。
-

保証期間
保証期間は、非常に重要です。条件はあると思いますが、アフターケアがある医院をおすすめします。
当院のセラミック矯正
の3つの特徴
当院のセラミック矯正は、院長である女性歯科医師ではなく、美容・審美専門かつ日本歯科理工学会・日本歯科療法学会・日本歯科麻酔学会など様々な分野の学会に所属し、明海大学の臨床准教授である理事長(男性歯科医師)が担当いたします。セラミック矯正の治療は、今話題で短期間で美しい白い歯を実現させる治療法ですが、一方でデメリットもあるため、通常の矯正とセラミック矯正のどちらが患者様にとって最適かを当院ではカウンセリングを通してお伝えします。
-

「歯並び」「歯の色」「歯の形」を短期間で同時に改善
セラミック矯正では、「歯並び」「歯の色」「歯の形」の3つを同時に最もキレイで美しい状態に治療することが可能です。ホワイトニングは歯の色見を脱色する方法なので白さに限界がありますし、矯正は歯並びを整える方法なので歯の形やサイズを変えることは出来ません。また、ホワイトニングであれば白さがずっと継続するわけではありませんので複数回の通院を定期的に行わなければなりません。矯正は数年間治療を行う必要がありますし、歯は元の歯並びに戻ろうとします(後戻り)。
-

審美性が高い
セラミック矯正はお好きな色見をお選びいただきます。天然歯に近い色も芸能人のような白さも可能です。また、サイズや配列なども黄金比を考えた人工歯を制作し装着しますので、通常の矯正やホワイトニングよりも、審美性は高い治療となります。セラミック矯正であれば、通院回数・期間ともに非常に短く3回前後で終了し(早ければ当月)、その効果は半永久的に白い美しい歯並びを実現させます。
-

本数を選ぶことが出来る
矯正やホワイトニングは一律同じ金額ですが、セラミック矯正は使用するセラミックの本数により金額が変わります。例えば、「上の歯6本だけやりたい」ということも、「上4本と下4本やりたい」ということも可能です。気になる箇所だけセラミックに変えることが出来るため、予算に合わせた治療方法・治療金額にすることが出来ます。当院では、オールセラミックを複数本お選びいただくと割引もありますので、是非ご相談ください。
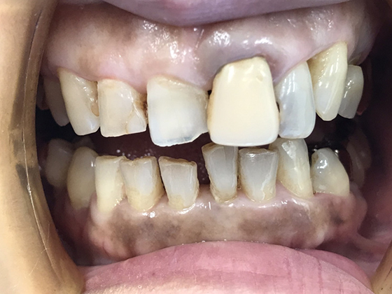
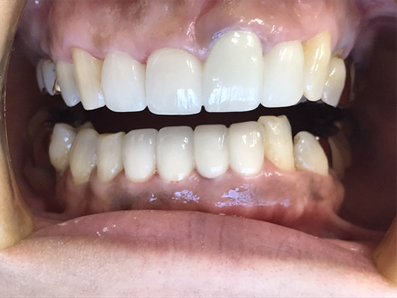
セラミック矯正・セラミック治療の症例
当院のセミラック治療の症例です。インレー、クラウン、複数本、ラミネートベニアなども対応しておりますので、まずはご相談ください。
Case1
セラミック矯正×上下12本
セラミック矯正にて、上下12本の歯をオールセラミッククラウンにし、色を白く、歯並びも整えました。
- 期間
- 2か⽉
(通院回数4~5回)
- 費用
- <複数本セット>
1,056,000円
リスク・副作用:装着当初は違和感を感じることがあります。
Case2
セラミック矯正×6本
セラミック矯正にて、下6本の歯をオールセラミッククラウンにし、色を白く、歯並びも整えました。
- 期間
- 2か⽉
(通院回数4~5回)
- 費用
- <複数本セット>
528,000円
リスク・副作用:装着当初は違和感を感じることがあります。
出っ歯・上顎前突・歯ぐきのセラミック矯正

▼出っ歯・上顎前突・歯ぐきのセラミック矯正
日本人は骨格的な問題から、出っ歯の症状が出やすくなっています。特徴的な顔貌を呈する出っ歯の症状に長年お困りの方も少なくありません。ここではそんな出っ歯をセラミック矯正で改善する方法についてご紹介します。
◎出っ歯(上顎前突)の特徴と原因、治療方法は?
・出っ歯の特徴
出っ歯とは、上の前歯もしくは顎が前方に突出している歯並びで、専門的には上顎前突(じょうがくぜんとつ)といいます。口元がモコっと膨らんでいることから「口ゴボ」と表現されることもあり、矯正による改善を望まれる方が多い歯並び・噛み合わせの異常にひとつです。
・出っ歯の原因
出っ歯の原因は、歯の傾きや位置の異常と顎のバランスの異常の2つに大きく分けることができます。歯が前方に傾いているようなケースは比較的治療しやすく、上の顎が相対的に前に出ているケースは、外科手術などの治療が必要となりやすいです。
・出っ歯の治療方法
出っ歯の治療方法としては、歯列矯正とセラミック矯正の2つが挙げられます。歯列矯正は、マルチブラケット装置やマウスピース型矯正装置を使って歯を動かす方法で、治療には数年を要します。費用も800,000~1,000,000円程度かかることから、一般的には敷居の高い、出っ歯の治療法として有名です。一方、セラミック矯正は歯列矯正と比較すると治療期間が短く、費用も安いという特徴があり、昨今、出っ歯を治す方法として人気が高まっています。
◎セラミック矯正で出っ歯を整えられる?横顔を綺麗にする方法
歯の傾きや位置、大きさなどを調整できるセラミック矯正であれば、出っ歯をきれいに整えることが可能です。その際、ひとつの目安となるのが「E(エステティック)ライン」と呼ばれる指標です。Eラインとは、鼻の先と顎の先を結んだ線で、真横から見た場合に口唇がそのラインのどこに位置しているかで美しさが大きく変わります。日本人では、口唇がEラインの少し内側に位置しているくらいが最も綺麗な横顔となります。セラミック製の被せ物を装着することで、そうした理想に近い横顔に仕上げることは十分可能となっています。
◎セラミック矯正で治せない出っ歯の場合は?
セラミック矯正は有用な治療法ですが、決して万能ではありません。出っ歯の中でも、上の顎が極端に大きかったり、下の顎が小さくて相対的に出っ歯になっていたりするケースでは、セラミック矯正で治せないことも多々あります。そうしたケースでは、時間とお金はかかるものの、標準的な歯列矯正を受けた方が良いといえます。
▼前歯2本のセラミック矯正のメリット
上の前歯2本の傾きや位置の異常が原因で出っ歯となっているケースでは、セラミック矯正が最善といえる選択肢となることが多いです。なぜなら、前歯2本のセラミック矯正には、次に挙げるようなメリットがあるからです。
◎ワイヤー矯正やブラケット矯正よりも短期間で済む
セラミック矯正は、4~5回の通院で治療を出っ歯を改善することができます。期間にすると2~3ヶ月であり、2~3年を要するワイヤー矯正やブラケット矯正とは大きく異なります。極めて短い期間で長年のコンプレックスである出っ歯を治せることは、患者様にとって非常に大きなメリットといえます。
◎歯の大きさも調整でき、隣の歯と形や色の調和が取れる
歯列矯正は、歯並びだけを整える治療法ですが、セラミック矯正は、歯の大きさや形、色まで調整できるため、より理想に近い前歯の歯並びを手に入れることができます。周りの歯とも自然と調和するよう仕上げられます。
◎抜歯が不要なケースもある
歯列矯正で出っ歯を治す場合は、不足しているスペースを作り出すために抜歯をしなければならないことも多いです。一方、セラミック矯正で抜歯が必要となることは珍しいため、健康な歯を抜くことに強い抵抗を感じている方には大きなメリットになることでしょう。
▼前歯2本のセラミック矯正のデメリット
前歯2本の歯並びをセラミック矯正で治す場合、次に挙げるようなデメリットも伴う点にご注意ください。
◎汚れの付着の程度が異なるため、隣在歯と色調が合わない可能性がある
セラミックは天然歯の色調や光沢、透明感を忠実に再現できる材料であり、仕上がりはとても自然です。ただ、天然のエナメル質とは汚れの付着の程度が異なるため、隣り合った歯と色調が合わなくなることもあります。セラミックは経年的な変色や摩耗が起こりにくい点から、日頃のケアを徹底することで、汚れによる色調の不具合を未然に防ぐことが可能となります。その結果、虫歯や歯周病も効率よく予防することができます。
◎隣の歯と形態が合わない可能性がある
前歯2本のセラミックでは、その2つの歯の形や大きさ、色などを理想的に仕上げることができるものの、隣の歯との調和という観点においては、満足いく結果が得られないこともあります。隣の歯と形態が合わないなど、細かい部分が気になってしまう方もいらっしゃいます。
◎抜髄(ばつずい)が必要になることがある
セラミック矯正は、いわゆる“セラミック治療”とほぼ同じものであり、セラミック製の被せ物を装着する治療法です。そのため歯質をある程度、削らなければならないのですが、患者様の歯の状態によっては抜髄が必要となることもあります。歯の神経を抜いて土台と作り、その上にセラミック製の被せ物を装着することになるため、歯にはそれ相応の負担がかかる点にご注意ください。もちろん、抜髄をせずに前歯2本のセラミック矯正できるケースも多々あります。
◎歯根が破折する危険性がある
セラミック製の被せ物を装着すると、これまでとは違った方向から力が加わるようになり、歯根に過剰な負担がかかり、歯根破折(しこんはせつ)のリスクが高まります。とくに歯の神経を抜いたケースでは、歯質そのものが脆くなりやすいため、歯根が折れるリスクも自ずと高まります。当然、セラミック矯正では歯根に過剰な負担がかからないよう、噛み合わせ等に細心の注意を払いますが、それでもカバーできないアンバランスが生じることもあり得るのです。
◎下の歯は触らないため、噛み合わせの調和に限界がある
前歯2本のセラミック矯正では、下の歯に処置を加えることは一切ありません。上述したように、上の前歯のセラミック歯を調整することで、上下の噛み合わせが良くなるよう配慮しますがそこには限界があります。ですから、出っ歯の症状がキレイに改善できたとしても、上下の前歯の噛み合わせに違和感が生じる可能性もあることを知っておいてください。
▼まとめ
このように、出っ歯はセラミック矯正で治すことが可能です。歯の神経を抜かなければならないことがあったり、上下の前歯の噛み合わせに違和感が生じたりするなどのリスクはありますが、短期間かつ安価に出っ歯を治せる点は、極めて大きなメリットといえます。歯列矯正もなかなか一歩踏み出せないという方は、芸能人にも選ばれている利便性の高いセラミック矯正を検討されてみてはいかがでしょうか。
当院のセラミック矯正の価格・値段に関して

当院では患者様に高品質で安全且つお安いセラミック矯正を実現するため、下記の取り組みを行っております。
① セラミック専門の歯科技工所へ作成を発注
② 患者様第一の診療体制
③ 圧倒的なセラミック制作数と大量発注により、1本当たり低価格化
④ 多様なお支払い方法の整備
当院では、
① 現金
② クレジットカード
と様々なお支払い方法をご用意しております。
※すべて税込表⽰です
初診カウンセリング・検査
| 初診カウンセリング | 当院では、審美専門の歯科医師が無料カウンセリングを実施します。どのようなお悩みがあるのか、どのような歯並び・色・形にしたいのか、治療方法はどんな種類があるのか、それぞれのメリット・デメリット、金額などご丁寧にご説明します。まずは、お気軽にご相談ください。 | 無料 ▶ 24時間Web予約 ◀ |
|---|---|---|
| 検査・診断料 | 検査をすることで、治療⽅針が決まり、正確な治療費が確定します。従って、検査診断のご説明時に矯正治療にかかる全ての費⽤をご提⽰いたします。 | 無料 ※治療を開始される場合のみ |
メニュー
セラミック![]() |
セラミックの料金となります。当院ではセラミック専門の歯科技工所と提携しているため高品質で地域でも最安値のご提供が可能です(一口にセラミックと言っても、作り手によって品質が大きく違ってきます)。 | ●被せ物(クラウン) 110,000円 ●詰め物(インレー) 55,000円 |
|---|---|---|
セラミック矯正(セラミック複数本セット)![]() |
セラミック矯正は、本数によってお値段が変わります。 ※今だけ20%割引キャンペーン価格実施中 |
6本セット <複数本価格> 528,400円 8本セット <複数本価格> 704,000円 10本セット <複数本価格> 880,000円 12本セット <複数本価格> 1,056,000円 |
眠っている間に終わる痛みに配慮したセラミック矯正(静脈内鎮静法)

当院では、オプションで点滴麻酔の静脈内鎮静法を使ったセラミック矯正をご提供しております。「歯医者さんが怖い」「痛いのが怖い」「歯を削る音やにおいが怖い」という歯科恐怖症の方は多くいらっしゃいますが、そのような方にはオススメです。静脈内鎮静とは、読んで字のごとく静脈経由で麻酔を行うわけですが、術中はウトウトと眠っているような状態になり、ほとんどの人は治療後に治療中の記憶がありません。簡単に言えば、眠っている間にセラミック矯正ができるということです。麻酔ですが副作用やリスクも何もなく、そして入院を行うことなく実施できます。
キャンペーン一覧

当院では現在キャンペーンを実施しております。
「セラミック複数本割」となります。
条件が合えば誰でもお得にセラミック治療を受けることができます。
院長からわかりやすく解説

当院のホームページをご覧いただきありがとうございます。当院には、みなさまと同じように「歯並びを治したい!」という患者様が非常に多くいらっしゃいます。お話をする中で、スタッフが「矯正治療というとどんなイメージか」とお聞きすると、「矯正治療=銀のハリガネを使ったワイヤー矯正」とご回答される人が多いのです。ただ、現在は他にも多くの矯正治療方法があり、セラミック矯正もその一つです。セラミック矯正は、矯正治療の中で唯一「歯並び」以外に「歯の形」「歯のサイズ」「歯の色味」を同時に短期間で変えることが出来ます。もちろん、全ての治療にはメリット、デメリットがありますので、しっかりとお話しさせていただいてご納得いただいてから治療をさせていただきます。是非、お気軽に無料カウンセリングにお越しください。
その他、更に詳しく知りたい方はこちら
セラミック矯正のメリット・デメリット
芸能人にも選ばれるセラミック治療(セラミック矯正)
セラミック治療(セラミック矯正)で後悔や失敗しないために知っておくべきこと
セラミックの種類とそれぞれの特徴を解説
オールセラミックで治療したら口臭は改善される?
オールセラミックに研磨剤入りの歯磨き粉はNG?
オールセラミックは歯を多く削るって本当?
オールセラミックの治療後に定期的にメンテナンスを受けるべき理由
セラミック矯正は良くない?どんなリスク・トラブルがあるの?
セラミック矯正ですきっ歯は治せる?出っ歯やガミースマイルは?
セラミック矯正で出っ歯・口ゴボは治せる?Eラインは良くなる?
セラミック矯正はやってよかった?不自然にならない?
セラミック矯正で歯並びが治る仕組みを解説!
セラミック矯正とマウスピース矯正の違いは?八重歯を治すならどっち?
セラミック矯正の流れや手順、費用相場などを解説!
出っ歯を治すならセラミック矯正とワイヤー矯正どっちがおすすめ?
セラミック矯正の名医を探す方法は?口コミ?評判?
セラミック矯正は美容整形?顔は変わるの?
過去のお知らせ・コラム
当院のご紹介


当院の診療曜日と時間は、月曜・火曜・水曜・木曜・金曜・土曜・日曜の10:00~18:00となっており、休診日は祝日のみとなっております。場所は、JR山手線JR京浜東北線「御徒町駅」北口から徒歩1分と好アクセスです。是非、お気軽にご来院ください。




