ラミネートベニアとは

ラミネートベニアとは、前歯の色見・歯並び・形が気になる部分を出来る限り薄く削り、薄いセラミックシェルを接着剤で接着する治療方法です(被せ物に使うセラミッククラウンとは違います)。前歯がすきっ歯の方、前歯の色が気になる方、前歯の形が気になる方、前歯がガタガタの方、短期間で治したい方、通院回数を少なく治したい方にオススメの治療方法です。矯正であれば平均通院回数は2~3年間(毎月1回)、セラミック治療では平均通院回数は3~4回ほどとなりますが、ラミネートベニアは平均通院回数は2回と、かなり短期間で治療をおえることが出来ます。お忙しい方や、お急ぎの方には良い治療方法と言えます。また、当院のラミネートベニアは従来型とは違い当院の進化型のラミネートベニアは大きく天然歯を削ずることなく審美的な治療を行うことが可能です(従来法の様に削って処置することも可能です)。
従来の方法では天然歯の切削が必要でしたが進化型では大きく歯を削らなくても審美性を実現することが可能になりました。歯を削る量が少ないということは、身体への負担が少ないということなります。
従来法と進化型の違い
-

従来型のラミネートベニアは、
大きく歯を削る必要がある。 -

進化型のラミネートベニアは、
大きく歯を削る必要がありません。
当院ラミネートベニアの
6つの特徴
当院のラミネートベニアは美容・審美専門の歯科医師が担当します。前歯を短期間で美しい白い歯を実現させる治療法です。当院のラミネートベニアの特徴を6つご紹介します。ご検討する上でこのポイントを抑えると、キレイな前歯を実現・維持していただくことができます。
-

歯の切削量が最小限な進化型ラミネートベニア
ラミネートベニアは歯の表面を削り、セラミックシェルを貼り付ける治療方法です。当院のラミネートベニアは進化型のため、歯を削る量を最小限に抑えることが出来ます。歯の切削量が少ないと、身体への負担が少ない上に自分の歯である天然歯を多く残すことができます。
-

侵襲性の低い身体に負担が少ない治療法
歯を可能な限り削らないということは侵襲性が低い、つまり身体への負担が少なく健康的で安全性が高いということです。見た目がキレイになりたくてラミネートベニアを受けたのに、身体に悪影響を及ぼしてはいけません。従来型のラミネートベニアは削る量が多いため身体への負担が大きくなりますのでご検討ください。
-

衛生的で長持ちするセラミックを使用
当院のラミネートベニアは全てオールセラミックを使用しております。安いラミネートベニアは、プラスチックとセラミックが混ざったハイブリッドセラミックの可能性があります。プラスチックが入っているということは、変色リスクや汚れが付着しやすかったりと様々なリスクやデメリットがあります。当院では変色リスクがなく汚れが付着しにくいセラミックだけを使ったオールセラミックをラミネートベニアに使用しております。つまり、細菌が繁殖しにくく口腔内を清潔に保つことができラミネートベニアも長持ちさせることができます。
-

セラミック専門の審美歯科医院
当院はセラミック専門の美容・審美専門歯科医院です。セラミックを制作する歯科技工所もセラミック専門の技工所と提携し、高品質で低価格なセラミックシェルをご提供できます。
-

初回無料カウンセリング
当院では美容・審美専門の院長が初回無料でカウンセリングを実施します。歯をキレイにしたいけどどんな治療方法があるのか?それぞれメリットは?デメリットは?費用や期間は?など自由にご質問いただけます。
-

保証期間があること
当院では、セラミックには保証期間がついております。当院は高品質低価格なセラミックをご提供しているとはいえ安い治療ではありません。安心して治療を受けていただくため、当院では保証期間を設けております。
こんな人におすすめ

・短期間で歯並びを治したい
・前歯の見た目が気になる
・前歯の色見を変えたい
・歯の形やサイズが気になる
・歯を白くしたい
・前歯がねじれていたり傾いている
・前歯が出ていたり(出っ歯)、引っ込んでいる
・前歯が生まれつき変色している
・前歯が生まれつき小さい(矮小歯)
・前歯にまだら模様や縞模様のような変色がある
・一般的なホワイトニング治療では理想の白さにすることができない
ラミネートベニアと相性が良い症例
- 着色歯、失活歯(神経のない歯)、変色歯(テトラサイクリン歯、黒ずんだ歯、黄ばんだ歯、茶色い歯など)の改善
- すきっ歯(正中離開、空隙歯列)の改善
- 生まれつき小さい歯(矮小歯)の改善
- 前歯のねじれ(捻転)の改善
- ブラックトライアングル(前歯歯間部の三角の隙間)の改善
- プラスチック治療(コンポジットレジン樹脂の治療)で修復してある歯の改善
- 前歯の歯列不正(デコボコや不揃い)の改善
- 形態不良の歯(欠けている歯、すり減りで薄く透けてしまっている歯、酸食歯など)の改善
- ホワイトニングよりも白くキレイな歯にしたい方
ラミネートベニアができない方
- 重度の歯周病の方※歯周病治療を行いラミネートベニアができるようになる可能性があります。
- 歯の表面を削りますので、一般的な虫歯治療を受けられないような方
ラミネートベニアのメリット・デメリット
メリット
- 通院回数・治療期間が短い
- 歯並び・歯の色・歯の形まで改善できる
- 後戻りしない
- 部分的に歯並びを改善できる
- セラミックの被せ物より安価
デメリット
- 歯の表面を薄く削る必要がある
- 前歯だけの適応となる
- 一部治療が出来な方がいる
ラミネートベニアの
治療の流れ
繊細な技術を要するラミネートべニア治療には以下の治療流れがございます。
-
01
初回無料カウンセリング
当院では初回は美容・審美歯科専門の院長が無料でカウンセリングを行います。今の歯の状態、理想、ご予算などご希望をお気軽にご相談ください。ラミネートベニア以外にも、セラミック矯正などの治療法がございますので、患者様のご希望に最適な治療法をご提案し説明いたします。まずはお気軽にご予約ください。

-
02
検査
お口の中のお写真やレントゲンなど検査を実施します。この時点で虫歯や歯周病等がある場合には、虫歯・歯周病治療を優先して行う場合があります。

-
03
治療計画
改めて、検査結果をもとに診断し治療計画をご説明します。歯の状態によってはラミネートべニア以外の方法が最善の場合もございます。患者様にとって最も良い治療法をご提案いたします。

-
04
治療開始
歯の表面を削り、セラミック・シェルを表面に貼るために、歯の表面を0.3mm〜0.5mm程度削ります。その後、歯型を採ります。1~2週間後にセラミック・シェルが完成した後には、強力な接着剤と光をあて固定します。

-
05
調整
接着したセラミックの余剰な接着剤を外し、磨いて終了になります。周囲の健全な歯とほとんど見分けがつかない、自然な歯が完成します。

ラミネートベニアの症例
当院で扱ったラミネートベニア治療での症例です。
その他セラミック・セラミック矯正等々、様々な症例にも対応しております。よろしければ、ご参考にしていただければと思います。
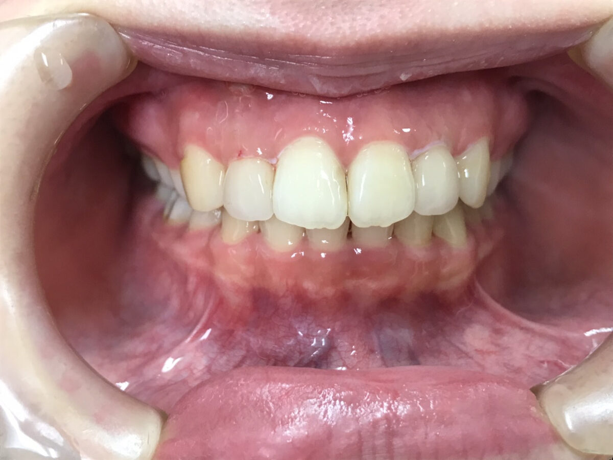
CASE01
前歯のラミネートベニア×2本
前歯(2番)のラミネートベニアを2本治療しました。
- 期間
- 1か⽉
(通院回数2~3回)
- 費用
- 88,000円×2本
リスク・副作用:装着当初は違和感を感じることがあります。
ラミネートベニアで後悔しないために

ラミネートベニアは、セラミック治療の中でも特殊性が高い施術法です。そのためラミネートベニアの仕上がりに満足が行かず、治療したことを後悔するケースもゼロではありません。皆さんも「ラミネートベニアで後悔をした」という内容のブログを読んだり、ラミネートベニアの失敗例をインターネット上で閲覧したりしたことがあるかもしれません。
確かに、ラミネートベニアも歯科医療の一種であり、メリットだけでなくデメリットも伴います。施術した歯科医師の技量や治療後のケアの状況によっては、ラミネートベニアのデメリットの方が大きく表れて後悔することもあるでしょう。そこでラミネートベニアを検討中の方は、治療で後悔しないためにもデメリットについて正しく理解しておきましょう。
ラミネートベニアでは、すきっ歯のような歯並びの異常も軽度であれば改善可能です。本来は、歯列矯正でなければ改善できない症状を短期間で尚且つ簡便に治療できるのがラミネートベニアのメリットではありますが、悪い歯並びを根本から治せる治療法ではないのです。一見するとラミネートベニアによってすきっ歯や乱ぐい歯がきれいに治ったように見えますが、実際はセラミックシェルを接着剤で貼り付けている状態です。ラミネートベニアが故障した際には、すきっ歯や乱ぐい歯が露わとなって後悔する人もいらっしゃいます。
とはいえ、ラミネートベニアが外れたとしても、再装着することは比較的容易です。もともと歯を削る量が少ないため、リカバリーもしやすくなっているのです。つまり、ラミネートベニアの失敗例やラミネートベニアで後悔したというブログの体験談なども、歯に大きな負担をかけずに再治療できるケースが大半を占めます。とくに当院が採用している進化型のラミネートベニアは、歯の切削量を最小限に抑えられることから、治療で後悔する可能性も極めて低くなっています。
その他、ラミネートベニアでは、セラミックシェルが思っていた色や形と違っていて後悔することもあります。これは歯科医師および歯科技工士の技術・経験不足と言わざるを得ません。ラミネートベニアによる審美治療には、それ相応の知識や技術、センスなどが求められます。それは診査・診断、治療計画を立案する歯科医師だけでなく、実際に手を動かす歯科技工士にも求められる資質・能力です。東京セラミック審美歯科クリニックのようなセラミック専門の審美歯科医院であれば、熟練した歯科医師と歯科技工士が密に連携しており、高品質なラミネートベニアを提供できます。
これまでにラミネートベニアで後悔した経験のある方は、是非とも当院までご相談ください。当院では、ラミネートベニアを始めとした審美治療専門の院長が初回カウンセリングを無料で承っております。また、ラミネートベニアには保証期間が設けられており、トラブルが起こった際には無償で修理や再治療が受けられます。患者さまがラミネートベニアで後悔しないためにも、さまざまな点に配慮した審美治療を提供しております。
ラミネートベニアが芸能人に人気がある理由

ラミネートベニアは、芸能人に人気がある審美治療です。もしかしたら皆さんが憧れている芸能人もラミネートベニアで白い歯を手に入れているかもしれません。ラミネートベニアというのは、それくらい芸能人の世界でも広く普及しているものなのです。
その理由としては、通院回数が少なく、治療期間が短い点が第一に挙げられます。テレビや雑誌、インターネットなどで活躍している芸能人は、分刻みのスケジュールで動いている人が多く、休みもほとんどありません。そうした多忙な毎日を送っている中で、長期に渡る歯列矯正などを受ける余裕はないのです。ラミネートベニアであれば、通院回数2~3回、治療期間1ヵ月程度で白い歯が手に入ることから、芸能人にも重宝されています。
芸能人は裏側矯正などで歯並びを治す人も少なくありませんが、やはり、矯正装置を長期間にわたって装着することは心身への負担が大きくなります。矯正装置によって滑舌が悪くなる、食事制限が加わる、磨き残しが多くなって虫歯・歯周病・口臭のリスクが高まる、といったデメリットは、人前に出ることが仕事の芸能人にとって深刻なデメリットとなることから、負担の少ないラミネートベニアが選ばれるようになったのです。
芸能人でもまだ実績や経験が乏しく、美容などに大きなお金をかけられない人には、セラミックの被せ物より安く治療できるラミネートベニアが重宝します。安価に歯の色や形、歯並びまで改善できるため、予算が潤沢ではない芸能人には魅力的な治療法として映ることでしょう。芸能人は、形がきれいな白い歯を持っていることが前提となっており、ラミネートベニアなら短期間かつ安価にその状態を維持できるので高い人気を誇っているものと思われます。
ラミネートベニアは、後戻りすることがない点も芸能人に人気がある理由のひとつとして挙げられます。歯列矯正では、2~3年をかけて歯を動かしたのち、もう2~3年かけて歯の位置を固定しなければなりません。これを専門的には保定(ほてい)といいます。つまり、歯並びの乱れを歯列矯正で治そうとすると、4~6年の治療期間が必要となるのです。
これは“旬”がある芸能人にとってはあまりにも長く、保定処置を省いてしまうケースも珍しくないのです。その結果、歯の後戻りが生じて美しい歯並びを手放さざるを得なくなることもあります。ラミネートベニアはセラミックシェルを貼り付ける治療法であり、後戻りのリスクがないため、芸能人も安心して仕事に専念できます。こうした種々の理由から、ラミネートベニアを選ぶ芸能人が多くなっています。
ラミネートベニアの料金の相場(東京)

ラミネートベニアを東京の審美歯科で受けるとなると、料金が気になることでしょう。もともと審美歯科のラミネートベニアの料金は、一般の歯科治療より高くなっており、それに加えて審美治療の最前線ともいえる東京で施術を受けるとなると、地方で受ける場合よりも高額になることは間違いありません。
ラミネートベニアを東京の審美歯科で受けた場合、1本当たり100,000~150,000円程度かかるのが一般的です。料金を高めに設定している東京の審美歯科では、ラミネートベニア1本当たり200,000円の費用がかかることもあります。ラミネートベニアというのはそれだけ優れた治療ではあるのですが、料金が高い、支払えるか不安と感じる方も多いことでしょう。
そうした方は是非とも東京セラミック審美歯科クリニックまでご相談ください。当院では、ラミネートベニアを1本88,000円で承っております。東京の審美歯科のラミネートベニアの料金としては、最安値と言っても過言ではありません。
東京の審美歯科で複数本のラミネートベニア治療を受けたいという方は、料金がさらにお得になります。ラミネートベニアの6本セットであれば528,000円、8本セットは704,000円で治療可能です。いずれも特別価格となっておりますので、関心のある方はお気軽に当院までご相談ください。
東京セラミック審美歯科クリニックのラミネートベニアは、東京の料金相場と比較すると安価ではありますが、品質が低いというわけではありません。当院では、高品質で安価なラミネートベニアを提供するために、セラミック専門の歯科技工所と連携し、採算度外視の診療体制を組んでおります。また、関東近郊や地方からもたくさんの患者様にご来院いただいておりまして、セラミックシェルの大量発注が可能となっております。その結果、1本当たりの価格も大幅に下げることができるのです。こうした体制を築けている歯科医院は、東京の審美歯科でもかなり珍しいです。セラミック治療に特化した東京の審美歯科ならではと言えるでしょう。
当院のラミネートベニアの料金に関して

当院では患者様に高品質で安全且つお安いラミネートベニアを実現するため、下記の取り組みを行っております。
① セラミック専門の歯科技工所へ発注
② 採算度外視の患者様第一の診療体制
③ 圧倒的なセラミックシェル制作数と大量発注により、1本当たり低価格化
④ 多様なお支払い方法の整備
当院では、
① 現金
② クレジットカード
と様々なお支払い方法をご用意しております。
※すべて税込表⽰です
初診カウンセリング・検査
| 初診カウンセリング | 当院では、美容・審美専門の歯科医師が無料カウンセリングを実施します。どのようなお悩みがあるのか、どのような歯並び・色・形にしたいのか、治療方法はどんな種類があるのか、それぞれのメリット・デメリット、金額などご丁寧にご説明します。まずは、お気軽にご相談ください。 | 無料 ▶ 24時間Web予約 ◀ |
|---|---|---|
| 検査・診断料 | 検査をすることで、治療⽅針が決まり、正確な治療費が確定します。従って、検査診断のご説明時に矯正治療にかかる全ての費⽤をご提⽰いたします。 | 無料 ※治療を開始される場合のみ |
メニュー
ラミネートベニア![]() |
ラミネートベニアの料金となります。当院ではセラミック専門の歯科技工所と提携しているため高品質で地域でも最安値のご提供が可能です。 | ラミネートベニア 88,000円 |
|---|---|---|
セラミック複数本セット![]() |
ラミネートベニアと比較検討される治療方法にセラミック矯正があります。参考にセラミック矯正の金額も掲載いたします。セラミック矯正も本数によってお値段が変わります。 ※今だけ20%割引キャンペーン価格実施中 |
6本セット <複数本価格> 528,400円 8本セット <複数本価格> 704,000円 10本セット <複数本価格> 880,000円 12本セット <複数本価格> 1,056,000円 |
ラミネートベニアのQ&A
-

治療期間や通院回数はどのくらいかかりますか?

ラミネートベニアのメリットの1つに短期間で治療が終わることがあります。治療期間だと約1ヶ月、通院回数でいえばラミネートベニアの工程だけについては最短で2回の来院で可能ですが、場合により3回以上来院いただくこともございます。
-

ラミネートベニアは虫歯になることはありますか?

ラミネートベニアは虫歯になりません。その理由として、ラミネートベニアは自分の歯とは違いラミネートベニア自体の材質がエナメル質ではなくセラミックのため虫歯になりません。虫歯は歯のエナメル質が溶け出すところから始まるのですが、ラミネートベニアだと材質がセラミックなので、エナメル質が溶け出す心配がなく、虫歯にならないということです。
ただし、ラミネートベニアは歯の表側の表面部分に薄いセラミックを貼り付ける治療の為、歯の裏面部分はご自身の歯のままでありその箇所が虫歯になる可能性はあります。特に歯ブラシの状態が悪い場合には、虫歯になる確率が高くなります。それでも、歯の裏側は表側に比べて虫歯になりにくい箇所なため、そこまで心配する必要はないでしょう。虫歯のケアのためには、日々の歯みがき、そして、定期的なメンテナンスが非常に大切です。ラミネートベニアを長持ちさせたい、キレイな歯をずっとキープしたい方は、日々のケアを怠らず、3か月に一度の定期健診を受けましょう。 -

ラミネートベニアは剝がれることはありますか?

歯にセラミックシェルを貼り付けるために非常に強固な接着剤を用いて接着するので、はがれる可能性はかなり低く、心配する必要はありません。もし仮に何らかの原因によってラミネートべニアがはがれてしまった際には、当院が再びくっつけます。それでも万が一はがれてしまった場合には、その他の方法を検討します。当院ではラミネートベニアだけでなくセラミックにも保証期間を設けているために、アフターサポートも充実しておりますのでご安心ください。
ラミネートベニアを歯の表面に貼り付けることで、前歯の色がキレイになった、歯の形が非常にキレイになって歯並びに自信を持てるようになられた方も多いため、見た目で自信を持ちたい方にとてもおすすめです。第一印象を大きく変えることができるため、審美歯科で施術を受けることで、美しくキレイになることが可能です。歯がボロボロでお困りの方、すきっ歯で見た目に自信を持てないという方など、歯の色、歯の形を変えられるラミネートベニアは、非常に魅力的な施術になるでしょう。 -

ラミネートべニアの費用・相場はいくらでしょうか?

ラミネートべニアは保険適用外の自費診療です。保険を適用する治療では、実際にかかった治療費の1~3割を患者様が負担しますが、自費診療ではかかった費用が全て患者様の負担になります。
ラミネートべニアの価格の相場は、機械や素材が医院によって様々なので金額の幅はありますが、1本あたり5万円~15万円ほどとなっています。通常は周囲の歯とのバランスを考慮し複数の歯を治療するのでその本数分の費用がかかります。当院ではセラミック専門の技工所と提携しているため、高品質なラミネートベニアを相場よりも低価格でご提供できます。 -

ラミネートべニア、セラミック矯正、ホワイトニングどれがいいの?

それぞれの治療にはメリットデメリットがあり一長一短です。患者様のご予算やご希望により、最適な治療方法は変わってきます。適用部位、歯並び、歯の色、歯の形・サイズ、期間、歯の切削や神経除去、費用が主な観点です。
セラミック矯正は、前歯と一部奥歯まで適用します。歯並び、歯の色、歯の形・サイズ全てをご希望通りに変更できます。通院回数は3~4回ほどで治療期間は最短で3週間、平均で2か月ほどです。歯を削りますし、場合によっては神経を除去する必要があります。当院の費用はセラミッククラウン1本で110,000円(税込)ですが、複数本割引で20%OFFですので6本セットで528,000円(税込)となります(1本88,000円(税込))。
ホワイトニングは歯の色を脱色する治療方法で、全部位に適用し白く出来る限界があります。また、歯並び、歯の形・サイズは変更することが出来ませんし、色は日常生活を送ることでまた黄ばんでいきます。通院回数は3回を1セットに、白さを維持するには定期的に1セットを行う必要があります。ただし、歯の切削や神経除去はなく費用も1セット30,000円~90,000円ほどとなります。
ラミネートベニアは前歯にのみ適用します。前歯のみは歯並び、歯の色、歯の形・サイズをご希望通りに変更することが出来ます。通院回数は2~3回ほどで治療期間は平均1か月ほどです。歯は削りますが切削量は少なく、神経除去は行いません。当院の費用はラミネートベニア1つで88,000円(税込)となっており、相場価格よりもかなりお安くなっております。
上記記述した通り、それぞれの治療にはメリットデメリットがあり、予算を優先するのか、期間なのか、削らない事なのか、人によって違いますのでどの治療が良い悪いということは言えません。患者様のご希望に沿った治療をご提供します。 -

ラミネートベニアの治療は痛みやしみたりしますか?

ラミネートベニアは歯の表面を薄く削るだけなので基本的には痛みがありません。歯の表面はエナメル質で覆われておりその箇所を削るわけですが、エナメル質には痛みを感知する神経が通っていません。また、同様にしみることも基本的にはありません。表面を削った治療後にお水を飲んだりした際に稀に痛みが発生しますが痛み止めで治まります。
-

ラミネートベニアとセラミッククラウンの違いはなんですか?

セラミッククラウンの場合は、歯を大きく削りその上にセラミックの歯を被せる治療方法です。場合によっては神経を除去する必要があります。ラミネートベニアは歯の表面のみを薄く削り、セラミックで出来たシェルを貼り付ける治療の為、歯の削る量が少なく神経を除去する必要がありません。
-

ラミネートベニアで使う素材はいくつかありますか?

医院によっては複数種類ありそこから金額や品質などによって選ぶケースがあります。当院では、オールセラミックのみを使用しております。理由としては、最も透明度が高く白く、そして価格をリーズナブルに出来るからです。
-

すきっ歯を治すことが出来ますか?

歯と歯の間にすき間が出来ている状態をすきっ歯と言いますが、ラミネートベニアと相性が良いです。歯の表面を削りセラミックシェルを貼り付けるわけですが、セラミックシェルのサイズ・形を調整しすき間ができてないようにすればすきっ歯を治すことが出来ます。
-

出っ歯を治すことが出来ますか?

上の歯が下の歯よりも前に突出している状態を出っ歯と言いますが、ラミネートベニアによって治せる症例もあります。骨格的に出っ歯が起こっているわけではなく、歯が前に突出している場合は、ラミネートベニアで治すことが可能です。症例によりますので、まずはお気軽にご相談ください。
-

歯のサイズが不揃いな感じなのですが治せますか?

ラミネートベニアで形やサイズを整えたセラミックシェルを貼り付ければ、キレイなバランスで歯を配置することが出来ます。





