セラミック治療とは


歯科治療で使用されるセラミックは陶器素材を指し、高い透明感と美しい白色を持つ優れた材料です。汚れが付着しにくく変色せず、優れた耐久性を誇る理想的な素材といえます。このセラミックを活用した治療では、患者様一人ひとりの歯の形状・色調・配列に合わせたオーダーメイドの補綴物を作製いたします。色調やサイズ、歯列の配置まで患者様のご要望に応じて調整可能で、芸能人のような純白の歯から、自然な歯に近い色調まで幅広く対応できます。虫歯治療で失われた歯質の回復と同時に、美しく自然な被せ物で口元の審美性を向上させる治療や、当院が専門とする審美歯科分野での美容目的治療に広く活用されています。

ホワイトニング
ホワイトニングによる段階的な歯の漂白や、矯正装置を数年間装着する歯列矯正、これら2つの治療効果を同時に実現し、さらに両治療では改善できない歯の形状・サイズまで変更可能なのが、セラミック治療・セラミック矯正の大きな特長です。
従来の銀歯と比較した場合、セラミックなら天然歯との区別がつかないほど自然な仕上がりを実現できるため、虫歯治療を受けた患者様はもちろん、すでに銀歯が入っている患者様の口元の美しさ向上としても、大変多くの方々にご選択いただいている治療法です。

矯正
金属素材を使用しない治療のため、金属アレルギーのご心配もなく、どなたでも安全にセラミック治療を受けていただけます。汚れが付着しにくい特性により、むし歯や歯周病の予防効果も期待できます。プラスチック製の被せ物と比べて変色や劣化が起こりにくく、強度面でも優れた特徴を持っています。
当院では独自に提携するセラミック専門技工所により、東京エリアでも高品質なセラミックを手頃な価格で治療提供しております。当院でセラミック治療をお受けいただき、被せ物(補綴物)に違和感を感じられた場合は、当院で追加治療も承ります(10年間の保証期間を設けております)。
ご関心をお持ちでしたら、ぜひ当院の無料相談をご利用ください。当院ではレントゲン撮影を行い、院長が無料でカウンセリングを実施いたします。無料相談をご利用ください。
歯だけじゃない
お顔全体のバランス

当院では、単に「歯の漂白」や「歯列の改善」だけでなく、顔全体の調和を考慮し、最も美しいとされるデザインの実現を目指しております。審美歯科の臨床経験30年を持つ理事長が、無料カウンセリングから検査、治療まで一貫して担当いたします。当院では、以下の美しさの基準を重視しております。
①Eライン(エステティック)
世界的に認められた美しさの基準として、Eライン(エステティックライン)があります。鼻先と顎先を結んだ線のことで、唇がこの線の内側に位置している状態が美しいとされます。人差し指を鼻先と顎先に当てた際、指が唇に触れるかどうかで簡単に確認できます。
②スマイルライン
前歯から奥歯まで、他人から見える範囲の歯の先端を結んだ曲線をスマイルラインといいます。このラインが直線ではなく、なだらかな曲線を描いている状態が美しいとされています。
③歯のサイズを黄金比とする
黄金比は多くの方がご存知かもしれません。簡潔に表現すると、人が美しいと感じる比率が「1:1.6」とされています。歯の色調や配列だけでなく、サイズも調整できることがセラミックやセラミック矯正の利点です。
④顔と歯の真ん中をそろえる
目や鼻の中心線、つまり顔の中心線と、2本の前歯の中心線を一致させることで左右対称性が生まれ、美しさが向上します。
セラミック治療を行う
歯科医院選びのポイント
審美歯科は一般歯科とは異なる分野です。虫歯治療でセラミックを詰める・被せるのではなく、先述の美の基準などを考慮し、患者様に合わせたオーダーメイドの審美治療を行います。セラミック治療を受ける際は、以下の3つのポイントを考慮してご検討いただくことをおすすめします。
-

審美専門
先ほどもお伝えしましたが、一般歯科と審美歯科では治療アプローチが異なります。審美専門であるかどうかで、症例数、歯科医師の技術レベル、経験値、実績を判断できます。数は限られますが、審美専門の歯科医院が存在します。当院は審美専門の歯科医院であり、さらに審美歯科の中でもセラミック治療を専門としております。
-

初回カウンセリングが無料
審美歯科を受けるかどうか、インターネット上の情報のみで判断するのは困難でしょう。治療内容の理解、実際の費用、医院の雰囲気、院内の清潔さ、歯科医師との相性など、さまざまな要素があります。迷っている状態で医院を訪れて費用を支払うことに抵抗を感じる方もいらっしゃるでしょう。注意していただきたいのは、無料カウンセリングと表記していても「カウンセリング自体」は無料でも、レントゲン撮影費用などは保険診療で請求される場合があることです。当院では初回は完全無料です。レントゲン撮影も、カウンセリングも、見積もり作成もすべて無料です。低価格とはいえセラミック矯正は数十万円する高額な治療ですので、十分にご検討いただけるよう無料としております。
-

セラミックの保証期間
セラミックは非常に美しく耐久性もありますが、天然歯と同程度の硬さの素材のため破損することもあります。重要なのは、セラミック治療を受けて終了ではなく、保証期間があることが非常に大切です。条件はありますが、保証期間を設けている医院をおすすめします。一般的な歯科医院では3~5年が保証期間の相場です。審美歯科では5年程度です。当院では10年間の保証期間を設けておりますので、安心して治療をお受けいただけます。
当院のセラミック治療の3つの特徴
セラミック治療ひとつをとっても、歯科医師の経験により仕上がりに大きな差が生まれます。
当院では審美歯科臨床経験30年以上の院長、または某大手美容外科出身の歯科医師が、患者様一人ひとりに集中して治療を行います。当院ではすべての患者様にご満足いただける美しさを追求したセラミック治療を提供しております。
-

美しさを徹底追求
当院では機能面だけでなく、美しさを徹底的に追求した治療を実施しております。美の基準を前提として、患者様のご希望に応じて歯の形状・サイズ・色調・歯列などのご提案をいたします。また、当院のセラミックはセラミック専門技工所との提携により、高品質なセラミック歯を低価格でご提供しております。その結果、口元だけでなく顔全体のお悩みが改善され、多くの方が白く美しい笑顔を手に入れ、ご満足いただいております。
-

審美歯科30年の熟練された技術
当院では、初回のカウンセリングから治療計画立案、そして実際の治療まで、審美歯科の臨床経験30年以上の院長が一貫して担当いたします。当院では原則として、歯科衛生士や歯科助手がカウンセリングを担当したり、途中で担当医が変わることはありません。審美歯科の臨床経験が豊富な院長が最新の治療設備を使用して治療を行います。
-

セラミック複数本だと20%割引
当院では、多くの患者様がオールセラミックを複数本まとめて治療されます。その理由は、歯の色調を白くするために他の歯の色も調整したり、小さい歯やねじれている歯も改善したいという患者様が多いためです。そのため、当院ではセラミックを6本以上治療される方には20%割引をご提供しております。1本でも高品質で低価格な当院のセラミックですが、複数本ではさらに低価格でご提供可能です。
セラミック治療~当院だからできること~

当院では専門技工所との提携により、見た目を天然歯に近い色調に調整することが可能です。セラミック歯の治療では、歯列の部分矯正も同時に行うことができます。当院では矯正専門医も在籍しているため、矯正治療とのコラボレーションも実現可能です。また美容・審美専門歯科として、単純な見た目の改善だけでなく、歯の長期的な健康も含めた治療を心がけております。
セラミック歯の種類
セラミックにはいくつかの種類があります。オールセラミック、ジルコニアセラミック、メタルボンドの3種類です。それぞれに特徴やメリット、デメリットがありますので、以下でご説明いたします。
-

オールセラミック
当院ではオールセラミックを推奨しております。全体がセラミックで構成されており、白く美しい透明度の高い素材で、天然歯と同等の硬さを持ちます。セラミックはプラスチックと異なり変色しないため、半永久的に美しい白さを保つことができます。金属を全く使用しないため、金属アレルギーのリスクがなく、金属が表面に露出することもありません(メタルタトゥー)。見た目、生体親和性(身体への安全性)、費用面すべてにおいて優れた素材、それがオールセラミックです。
-

ジルコニアセラミック
ジルコニアセラミックとは、人工ダイヤモンドと称されるジルコニア(純白で非常に硬い素材)の上にセラミックを重ねて審美性を向上させた素材です。硬さは天然歯の約3倍で、ロケットの外壁にも使用されているといわれています。もともと便器のように純白でピカピカした素材のためセラミックを重ねるのですが、単一素材ではないため剥離する可能性があります。また、色の再現性はオールセラミックと比べてやや劣ります。(費用はオールセラミックより高額になります。)
-

メタルボンド
かつては一般歯科でも広く使用されていました。金属(メタル)の上にセラミックを重ねた素材です。ジルコニアセラミックの金属版とお考えいただければわかりやすいでしょう。こちらは推奨しておらず、当院で使用することはありません。
耐久性は高いのですが、内部に金属を使用しているため金属アレルギーの方には適さず、歯周病が進行すると金属面が露出する可能性があります(メタルタトゥー)。
セラミックの素材比較
| オール セラミック |
ジルコニア セラミック |
メタル ボンド |
|
|---|---|---|---|
| 硬さ |
天然歯とほぼ同じ |
硬い |
硬い |
| アレルギー の有無 |
なし |
なし |
金属の |
| 透明感 |
一番自然 |
自然 |
不透明 |
| 価格・治療費 |
低価格 |
高い |
高い |
| 使える 場所 |
基本は |
どこでも |
長期を考えると |
| ブリッジ |
できる |
できる |
できる |
オールセラミック~金属を一切使用しない治療~
オールセラミックは金属を使用しないため、アレルギーをお持ちの方にも安心してご利用いただけます。
また、色調や質感も最も天然歯に近く審美性に優れており、歯肉が黒く変色することはありません。
そのため、前歯に使用されることが多く、多くの患者様にご好評いただいております。
-

メタルボンド
(金属を使った
セラミック) -

オール
セラミック
セラミック治療における7つのメリット

①好きな色を選べる
セラミックは、ご希望の色調で発注することができるため、芸能人のような純白の歯から、天然歯に近い見た目の再現まで、自然な色・形に調整することが可能です。天然歯のような自然な光沢や透明感が得られるため、前歯に使用しても自然でほとんど目立ちません。歯は若干黄色みがかった部分もあり、純白というわけではありません。特に前歯の場合は、笑顔や会話の際に色の違いが目立ってしまいます。セラミックは、そのような心配がありません。特にオールセラミックは天然歯と見間違えるほどの美しさです。

②変色や劣化せず長持ち
歯科医院で保険診療に使われるレジン(プラスチック)の場合、最初は純白で美しいのですが、時間の経過(数年)とともに黄色く変色してしまうため、審美目的や長期使用には適していません。一方、セラミックの場合は、プラスチックのように交換する必要がなく、時間が経過しても色の変色がほとんど見られません。
プラスチック製のお弁当箱と、セラミック製のお皿をイメージしていただくとわかりやすいでしょう。お弁当箱は汚れが落ちにくく、色の濃い料理を入れると洗っても洗っても色が残ります。セラミック製のお皿は洗剤をつけてさっと洗えば純白になります。また、セラミックは変色が起こりにくいだけでなく、劣化しにくいのが特徴です。そのため、銀歯と比べて二次むし歯になるリスクが低く、長期間使用し続けることができます。

③短期間で部分的な矯正を行うことができる
美しさの基準に基づき、ご希望の色調のセラミックを複数本使用して、歯列を改善することも可能です。通常の歯列矯正であれば数年間必要ですが、セラミック矯正であれば通院回数3~4回で治療が完了します。また、矯正では改善できない歯の形状・サイズ・配列も変更できますし、ホワイトニングでは実現できない白さを達成することができます。ちなみに、ホワイトニングは複数回の通院が必要で、日常生活でコーヒーやタバコ、ワインなどで着色するため、定期的なホワイトニングが必要ですが、セラミックであれば変色しないため定期的な治療が不要です。

④むし歯や歯周病の予防
セラミックは、表面が滑らかで歯の汚れである歯垢(プラーク)が付着しにくいため、虫歯や歯周病を予防することができます。
金属も表面は滑らかですが、唾液の成分により微弱な電気を帯びるため、歯垢が付着しやすく、むし歯や歯周病の原因となってしまいます。
また、金属は温度変化によりセメントと呼ばれる金属を固定する部分が破損し、隙間から細菌が侵入することで虫歯が再発することもあります。(二次むし歯)
むし歯がすでに大きくなっていたり、かなり深部まで進行した状態になっていると、削除したり抜歯しなければならない場合もあります。
このように、金属にはむし歯や歯周病、二次むし歯のリスクがあります。一方、セラミックは温度変化の心配もなく歯垢も付着しにくいため、これらのトラブルを予防することができます。


⑤金属アレルギーの方でも治療可能
金属アレルギーをお持ちの方は、銀歯による治療ができません。銀歯を装着すると唾液で溶解して銀イオンが体内に吸収され、アレルギーを発症する可能性があります。現在金属アレルギーでない方も、銀歯を装着することで発症する可能性もあります。金属アレルギーは皮膚の荒れだけでなく、肩こりや疲労感などの不定愁訴と呼ばれる症状も引き起こします。日本の保険制度は完璧ではなく応急処置的なものです。とりあえず、形態を回復し咀嚼できるようにすることを目的としています。一方、セラミックの場合は陶器でできており、金属アレルギーの方でも安心して治療を受けていただけるため、金属アレルギーの方にとって最も有効な治療法であるといえます。

⑥自分の歯と同じ硬さ
天然歯の硬さは約400mpaといわれていますが、セラミックの硬さはほぼ同じ約400mpaです。ちなみに、プラスチックとセラミックを混合したハイブリッドセラミックは約250mpa、人工ダイヤモンドと呼ばれるジルコニアは約1300mpaといわれています。硬すぎると対合歯と呼ばれる咬合時の反対側の歯を傷める恐れがあります。天然歯と同程度の硬さが生体親和性が高いということです。つまり、セラミックは寿命が長く損傷しにくい素材です。セラミックも永続的に使用はできませんが(アフターケア次第で半永久的に使用できます)、銀歯と比べて寿命ははるかに長いのが特徴です。銀歯の寿命は一般的に5年程度といわれていますが、セラミックは10年以上使用することができます。また、銀歯は表面に細かな傷がつきやすいため、表面に汚れが付着しやすくなってしまいます。一方、セラミックは硬くて傷がつきにくいため、銀歯と比べて汚れが付着しにくいのが特徴です。

⑦精度が高い
プラスチック、銀歯、セラミックいずれも歯を削除してそこに装着するわけですが、その削除した部位へぴったりと適合し続けているかどうかは、素材により違いがあります。
そもそも、プラスチックは適合性が低いです。銀歯は装着直後は良好ですが、先ほども述べたように溶解したりするため徐々に適合性が悪化していきます。セラミックは唾液で溶解することがないため、適合性が高く精度を維持できる素材であるということです。
セラミック治療で知っておくべき2つの注意点

セラミック
①自費診療のため治療費が高額になる
保険診療と比較すると費用負担が大きくなります。保険適用が認められているのは金属の詰め物とプラスチック素材のみで、セラミックは自費診療となります。一般的な価格帯として、オールセラミックのインレー(詰め物)は40,000円~80,000円程度、オールセラミックのクラウン(被せ物)は80,000円~140,000円程度が相場です。当院では、セラミック専門技工所との連携や大量発注によるスケールメリットにより、1本当たりの価格を抑制しています。オールセラミックインレーは50,000円(55,000円税込)、オールセラミッククラウンは100,000円(110,000円税込)でご提供しています。オールセラミッククラウンについては、現在6本以上の複数本治療の場合20%割引を適用し、80,000円(88,000円税込)でご案内しています。

セラミック治療
マウスピース
ボトックス注射
②破損のリスクがある
セラミックの性質は陶器に類似しており、通常の使用では非常に丈夫ですが、陶器を高所から落下させたり過度な力を加えると破損するのと同様に、強い衝撃や過大な負荷により破損する可能性があります。
日常的な食事や生活において簡単に破損することはありませんが、歯ぎしりや食いしばりなどの口腔習癖をお持ちの患者様は特に注意が必要です。
食いしばりや歯ぎしりは、極めて強い力を長時間継続的にかけてしまいます。このような習癖により、本来長期間使用できるセラミックの耐用年数が短縮される要因となります。そのため、「奥歯には強度の高いセラミック材料を選択する」「就寝時には歯ぎしり予防用のマウスピースを使用する」「ボトックス注射(ボツリヌス)による治療を検討する」といった対策が重要です。
※歯ぎしりや食いしばりはセラミック治療に限らず、口腔全体の健康維持においても望ましくない習癖であるため、治療開始前に歯科医師へ相談し、適切な対策を講じることが重要です。
当院では破損への不安を抱く患者様が多いことを考慮し、10年間の長期保証制度を設けています。一般的なセラミック保証期間は3~5年程度ですが、当院では10年という長期保証を実現しています。
セラミック治療の実績紹介
当院で実施したセラミック治療の実際の症例をご紹介いたします。
多様な症例への対応が可能ですので、ぜひ治療の参考としてご覧ください。
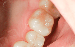
CASE01
臼歯部のセラミッインレー×1本
臼歯部の銀歯(金銀パラジウム合金インレー)1本をオールセラミックインレーへ交換いたしました。
- 期間
- 1ヵ⽉
- 費用
- 55,000円(税込)
リスク・副作用:装着初期には違和感が生じる場合があります。
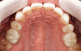
CASE02
臼歯部のセラミックインレー×1本
臼歯部の銀歯(金銀パラジウム合金インレー)1本をオールセラミックインレーへ変更いたしました。
- 期間
- 1ヵ⽉
- 費用
- 55,000円(税込)
リスク・副作用:装着初期には違和感が生じる場合があります。
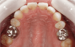
CASE03
臼歯部のセラミッククラウン×2本
臼歯部の銀歯(金銀パラジウム合金クラウン)2本をオールセラミッククラウンへ交換いたしました。
- 期間
- 1ヵ⽉
- 費用
- 110,000円(税込)×2本
リスク・副作用:装着初期には違和感が生じる場合があります。
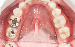
CASE04
臼歯部のセラミックインレー×2本
臼歯部の銀歯(金銀パラジウム合金インレー)2本をオールセラミックインレーへ変更いたしました。
- 期間
- 1ヵ⽉
- 費用
- 55,000円(税込)×2本
リスク・副作用:装着初期には違和感が生じる場合があります。
セラミック治療の進行手順
セラミック治療は来院回数3~4回程度、治療期間約1~2ヵ月程度と短期間で完了します。以下にセラミック治療の進行手順をご説明いたします。
-
01
審美専門院長による無料相談
当院では、初診時にレントゲン撮影を実施し、患者様のお悩み・ご要望・ご予算などを詳しくお伺いして治療プランをご提案いたします。すべて審美歯科専門で30年以上の臨床実績を持つ院長が一貫して担当いたします。最終的には詳細な見積もりもご提示いたしますので、ご自宅でじっくりご検討いただけます。十分にお考えいただき、ご納得の上で治療をお受けください。

-
02
精密検査
状況により初回で完了する場合もありますが、2回目のご来院時に口腔内写真撮影などの精密検査を実施いたします。検査結果に基づいて治療計画を最終確認し、治療段階へ進んでまいります。この段階で虫歯や歯周病が進行している患者様は、先行して基礎治療を実施する場合があります。

-
03
神経処置、支台歯形成
ここからセラミック治療の実際の処置となります。神経を保存すると知覚過敏や炎症が発生する可能性がある場合は、歯髄除去処置が必要となります。当院では丁寧な麻酔処置を行いますので痛みはほとんどありませんが、麻酔に対する恐怖心をお持ちの方には静脈内鎮静法による治療も可能です。静脈内鎮静により、うとうとした状態となり治療中の記憶がほとんど残りません。「歯科治療への恐怖心」「処置への不安」「痛みへの懸念」など静脈内鎮静にご関心がある方は、相談時にお申し出ください。歯質削除後は、インレーの場合は印象採得を実施し、クラウンの場合は支台築造後に印象採得を行います。当院では、この支台にファイバーコアを使用します(保険診療では金属製のメタルコアを使用しますが、金属アレルギーのリスクや透明度の高いセラミックに使用すると黒く透過します)。

-
04
暫間補綴物の装着
その後、直ちにセラミック補綴物を装着するのではなく、暫間補綴物を装着いたします。暫間補綴物で数日間お過ごしいただき、歯の使用感、咬合状態などを確認していただきます。

-
05
セラミック補綴物の装着
暫間補綴物に問題がなければ、セラミック補綴物を装着して治療完了となります。来院回数は3~4回程度、治療期間は1~2ヵ月程度となります。

眠っている間に完了する痛みに配慮したセラミック治療(静脈内鎮静法)

当院では、オプションとして静脈内鎮静法を用いたセラミック治療をご提供しております。「歯科医院への恐怖心」「痛みへの不安」「歯を削る音や匂いへの嫌悪感」といった歯科恐怖症の患者様は多数いらっしゃいますが、そのような方々におすすめです。静脈内鎮静とは、文字通り静脈を通じて麻酔薬を投与する方法で、うとうとした眠りに近い状態となり、大部分の患者様は治療後に治療中の記憶を失います。簡潔に表現すれば、眠っている間にセラミック治療が完了するということです。麻酔処置ですが副作用やリスクも少なく、入院の必要もなく実施可能です。
当院のセラミック治療の料金に関して

当院では患者様に高品質で安全且つお安いセラミック治療を実現するため、下記の取り組みを行っております。
① セラミック専門の歯科技工所へ発注
② 採算度外視の患者様第一の診療体制
③ 圧倒的なセラミック制作数と大量発注により、1本当たり低価格化
④ 多様なお支払い方法の整備
当院では、
① 現金
② クレジットカード
と様々なお支払い方法をご用意しております。
※すべて税込表⽰です
審美専門の院長によるカウンセリング
| 審美専門の院長によるカウンセリング | 当院では、レントゲンを撮影し審美歯科臨床経験が30年以上の院長がカウンセリングを行います。お悩み、ご希望、ご予算等々お気軽にご相談ください。カウンセリング時に、治療計画・治療見積もりをお伝えさせていただきます。 | 無料 ▶ 24時間Web予約 ◀ |
|---|---|---|
| 検査 | セラミック治療を行う際に必要な資料を集めて検査を行います。 | 無料 ※治療を開始される場合のみ |
メニュー
セラミック![]() |
セラミックの料金となります。当院ではセラミック専門の歯科技工所と提携しているため高品質で地域でも最安値のご提供が可能です。 | ●被せ物(クラウン) 110,000円 ●詰め物(インレー) 55,000円 |
|---|---|---|
セラミック複数本セット![]() |
セラミックの本数によってお値段が変わります。 ※今だけ20%割引キャンペーン価格実施中 |
6本セット <複数本価格> 528,400円 8本セット <複数本価格> 704,000円 10本セット <複数本価格> 880,000円 12本セット <複数本価格> 1,056,000円 |
医療費控除について
医療費控除とは、患者様とそのご家族(生計を共にするご家族)の1月1日~12月31日までの1年間の医療費が一定金額を超えるときに所得控除される制度のことです。医療費控除の対象となるのは、歯科医院の保険治療・自費治療共に対象になりますし、医科やお薬代なども対象となります。
1年間の医療費総額 - 保険金等で補填された金額(医療保険や生命保険等々) = 医療費控除の額
医療費総額 - 10万円 = 医療費控除額
医療費控除額は、最大200万円までとなっております。医療費控除は、毎年1月31日~12月31日に支払った医療費を、翌年の2月~3月に確定申告することで、医療費控除が適用されます。課税所得、医療費控除の額により還付額は変わってきます。
その医療費控除の金額に合わせて税金が還付されるため、実質治療費が安くなるということです。
例えば、当院のセラミック6本セットの治療をご受診された場合を各課税所得金額に応じて、所得税の還付額(+住民税の減税)、そして実質治療費(治療費ー医療費控除で還付・減税される金額)を表にしています。

医療費控除の⼿続きは、お住まいの住所を管轄する税務署へ医療費控除に関する事項を記載した確定申告書を提出してください。
その際、医療費の⽀払いの領収証や通院にかかった交通費などについて確定申告書に添付、もしくは提⽰する必要があります。
キャンペーン一覧

当院では現在キャンペーンを実施しております。
「セラミック複数本割」となります。
条件が合えば誰でもお得にセラミック治療を受けることができます。
患者様に寄り添ったセラミック治療

当院では、院長が必ずカウンセリングを実施し、お悩み、ご希望、ご予算などを考慮して治療計画・治療見積もりをご提示いたします。患者様一人ひとりの価値観、ご希望、ご予算が異なるにも関わらず、お話を伺うことなく単一の治療を推奨することはございません。まずはお気軽にご相談ください。
セラミック治療のメンテナンス

セラミックを長期間維持するために、メンテナンスは確実に実施しましょう。日常のご自身でのブラッシングのみならず、定期的に歯科医院へ通院し、専門的なクリーニングをお受けください。
セラミック治療のQ&A
-

セラミック治療で美しくなりますか?

セラミック治療では、ご希望の色調、形状・サイズ、配列にすることが可能です。当院では、美しさの基準などを基にご提案いたしますので、美しい仕上がりを実現できます。
-

セラミックは破損や欠損しますか??

セラミックも破損や欠損することがあります。硬度は天然歯と同程度ですが、天然歯でも強い衝撃により破損しますし、咬合や歯ぎしりが激しいと摩耗します。セラミックも同様です。(セラミックの硬度約400mpa、天然歯約400mpaです。)
-

芸能人のような真っ白な歯にできますか?

セラミック治療により芸能人のような白さを実現することは可能です。前述のように、セラミック歯はご希望の色調に変更できるので真っ白を選択すればよいのですが、天然歯を残したままにするとセラミックが白すぎて不自然になってしまいます。ですので、芸能人のような真っ白な歯にするには、多数本のセラミック治療が必要です。当院では、6本以上のセラミック治療を行う場合は、20%割引となりますのでお気軽にご相談ください。
-

治療期間・来院回数はどの程度ですか?

来院回数は3~5回程度、治療期間は1~2ヵ月程度になります。口腔内の状態により変動いたしますので、詳細は無料カウンセリングにお越しいただければ検査してお伝えできます。
-

セラミックが適用できない場合はありますか?

夜間の歯ぎしりが重度の方(骨隆起が形成されているなど)、咬合・歯ぎしりが激しい方はセラミック治療を実施する際は注意が必要です。いくらセラミックが硬いといっても、削れたり破損したり欠損したり摩耗したりします。(セラミックのみならず天然歯も同様です。)その際は、夜間睡眠時にマウスピース(ナイトガード)を装着したり、ボトックス注射(ボツリヌス)を投与したりして対策を講じればセラミック治療が可能です。
-

セラミック治療を希望しても歯科医院への恐怖心があるのですがどうすればよいですか?

当院では、ご希望の方には静脈内鎮静法を使用した眠っている間に完了する痛みに配慮したセラミック治療を実施しております。静脈内鎮静を投与することでうとうとした眠ったような状態になり治療中の記憶が失われます。
-

セラミックの耐用年数はありますか?

セラミックの耐用年数は半永久的です。しかし、破損や欠損や摩耗は起こりますので毎日のお手入れなどで長期間保持することは可能です。
-

銀歯をセラミックに変更できますか?

銀歯を削除し、残存している天然歯の形状を整えて、印象採得をしてセラミックを装着することが可能です。銀歯の耐用年数は短く数年といわれており、金属アレルギーリスク・虫歯再発リスクがありますのでご注意ください。
-

ホワイトニングとの相違点は何ですか?

そもそも、セラミックとホワイトニングは治療手法が異なります。メリット、デメリットそれぞれ異なりますので理解・納得して治療をお選びください。セラミックは歯質を削除しセラミックを装着しますので、メリットは歯の形状・サイズ・配列・色調を短期間で変更でき、半永久的にその白さを維持できます。ホワイトニングは歯の色調を脱色または染色するため歯質を削除しないというメリットはありますが、天然歯のままなので定期的にホワイトニングを実施しないと日常生活により黄ばんできます。
-

セラミック治療で歯並びを改善できますか?

歯並びといってもいくつかの種類があります。歯並びが悪い状態を不正咬合といいますが、その中でも上顎前突(出っ歯)、下顎前突(受け口)、叢生(八重歯)、歯の捻転、正中離開・空隙歯列(すきっ歯)などがあります。多くの場合は、セラミック治療により歯のサイズ・向きなどを変更して歯並びを改善することができます。不正咬合の状態によっては、通常の矯正、または外科処置が必要になります。
-

セラミックは知覚過敏や痛みはありますか?

セラミック自体は痛みを感知しませんが、神経が残存していれば痛みや知覚過敏が生じることがあります。痛みや知覚過敏が発生しそうな場合は神経除去を実施します。また、神経を保存して治療を実施した場合、治療により神経が過敏になり治療後1~2週間知覚過敏や痛みが生じることもあります。気になる場合は痛み止めを服用ください。
-

セラミック治療において失敗する危険性はあるのでしょうか?

基本的にセラミック治療では、大きな失敗が起こる危険性は低いとされています。しかしながら、患者様がお求めになる色調や形状・大きさ・美観などの理想を完全に実現できないケースも存在いたします。担当する歯科医師や歯科技工所の技術レベルが結果に影響することもございます。そのため、審美歯科を専門とする医療機関での治療をおすすめいたします。






